Leczenie Ortodontyczne Rzeszów
Ortodoncja to dziedzina stomatologii zajmująca się leczeniem wad zgryzu oraz nieprawidłowego ustawienia zębów. Przez zastosowanie zaawansowanych technik, leczenie ortodontyczne nie tylko przyczynia się do lepszej estetyki uśmiechu, ale również poprawia rysy twarzy. W Eurodent Stomatologia Rzeszów oferujemy kompleksowe usługi ortodontyczne dla pacjentów w każdym wieku – od dzieci po dorosłych. Korzystamy z najnowszych osiągnięć technologii, aby zapewnić efektywne i komfortowe leczenie, które przywraca zdrowy i piękny uśmiech.
Możliwości Leczenia w Eurodent Stomatologia Rzeszów
W naszej klinice stomatologicznej leczymy ortodontycznie z wykorzystaniem: aparatu stałego, ruchomego oraz leczenia nakładkowego Spark aligners.



Kiedy Zdecydować Się Na Leczenie Ortodontyczne?
Wady zgryzu możemy podzielić na dwie główne kategorie: wrodzone, które są obecne od urodzenia, oraz nabyte, rozwijające się w pierwszych latach życia dziecka.

Objawy Wskazujące Na Potrzebę Konsultacji Ortodontycznej:
Kiedy Podjąć Leczenie Ortodontyczne?
Optymalnym okresem na rozpoczęcie leczenia ortodontycznego jest wiek dziecięcy. Pierwsza wizyta ortodontyczna w naszej klinice powinna się odbyć około 6 roku życia, gdy wyżynają się pierwsze zęby stałe. Już w tym okresie ortodonta jest w stanie określić czy zęby i kości szczęk rozwijają się prawidłowo.
Najlepszym momentem rozpoczęcia leczenia ortodontycznego aparatem stałym jest faza wzrostu, czyli wiek około 12 lat. W tym okresie wyniki i efekty leczenia będą szybsze, skuteczne i długotrwałe.
Dzisiejsze metody leczenia wad zgryzu są na tyle zaawansowane, że coraz więcej dorosłych osób postanawia nadrobić zaległości i zawalczyć o piękny uśmiech. Żaden wiek nie jest barierą do rozpoczęcia leczenia ortodontycznego i posiadania pięknego uśmiechu. Należy być jednak świadomym, że w przypadku osoby dorosłej, leczenie może potrwać nieco dłużej, z uwagi na to, że u osób dorosłych kości czaszki, szczęka i żuchwa są już w pełni rozwinięte i nie są tak elastyczne, jak u dzieci.
Dlaczego Warto Rozpocząć Leczenie Ortodontyczne?
Rozpoczęcie leczenia ortodontycznego przynosi szereg korzyści, które wykraczają poza sam aspekt estetyczny, wpływając znacząco na zdrowie ogólne i samopoczucie. Skorygowany zgryz nie tylko ułatwia utrzymanie optymalnej higieny jamy ustnej, ale także zmniejsza ryzyko rozwoju chorób przyzębia i próchnicy. Jest to wynik równomiernego rozłożenia sił żucia i łatwiejszego dostępu do wszystkich powierzchni zębów podczas czyszczenia.
Zobacz

Zdalne Wizyty Ortodontyczne w Eurodent Stomatologia Rzeszów
Wprowadziliśmy nowoczesne rozwiązanie, które rewolucjonizuje podejście do leczenia ortodontycznego - Dental Monitoring. Jest to innowacyjna technologia, która umożliwia zdalne monitorowanie postępów leczenia za pomocą smartfona. Dzięki temu pacjenci mogą cieszyć się większym komfortem i wygodą, a ortodonta ma możliwość precyzyjnego śledzenia i dostosowywania planu leczenia w czasie rzeczywistym.
Dental Monitoring to zaawansowane narzędzie, które pozwala na regularne skanowanie jamy ustnej przez pacjenta za pomocą dedykowanej aplikacji. Skany te są przesyłane do ortodonty, który dzięki sztucznej inteligencji analizuje je i monitoruje postępy leczenia bez potrzeby częstych wizyt w gabinecie.
Korzyści dla pacjenta:
Komfort i wygoda: pacjenci mogą ograniczyć liczbę wizyt w gabinecie, monitorując postępy leczenia w domu, co jest idealne dla osób o napiętym harmonogramie lub mieszkających daleko od kliniki.
Precyzyjna kontrola: regularne skany pozwalają na dokładne śledzenie postępów, co przyspiesza proces leczenia i minimalizuje ryzyko niepowodzeń.
Wczesne wykrywanie problemów: technologia umożliwia szybkie wykrycie potencjalnych problemów i natychmiastową interwencję ortodonty.
Spersonalizowana opieka: dzięki bieżącym danym ortodonta może dostosować plan leczenia do indywidualnych potrzeb pacjenta.
Oszczędność czasu i kosztów: zdalne wizyty eliminują potrzebę częstych dojazdów do kliniki, co oszczędza czas i zmniejsza koszty transportu.
Kompleksowa Diagnostyka
Wykorzystując najnowocześniejszy sprzęt diagnostyczny, już podczas pierwszej wizyty jesteśmy w stanie przeprowadzić dokładną ocenę stanu zdrowia jamy ustnej. Na jej podstawie ortodonta Rzeszów opracowuje indywidualny plan leczenia Pacjenta. Posiadamy tomagraf cyfrowy z funkcją panoramy wielowarstwowej i cefalometrią skanowaną, który cechuje doskonała jakość obrazowania, niska dawka promieniowania dla Pacjenta, możliwość wykonania tomografii, pantomogramu i cefalometrii.

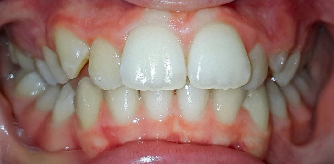
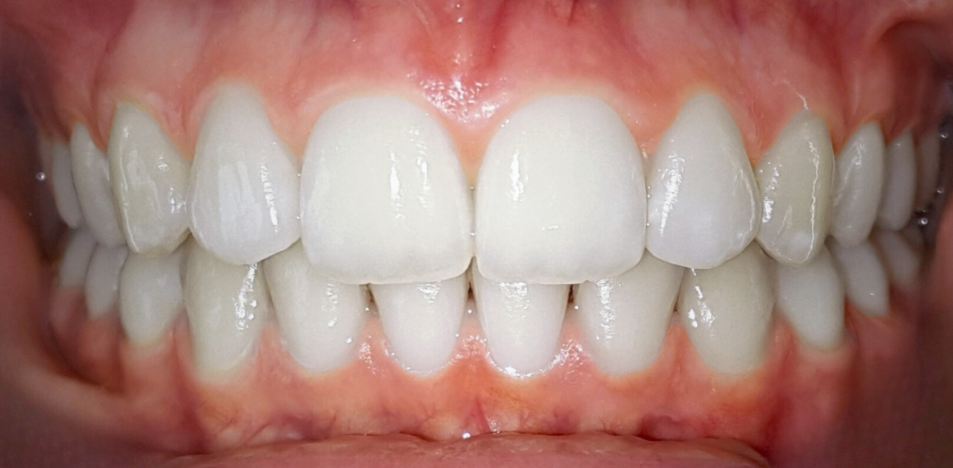
Efekty Leczenia
-
Przypadek nr 1
-
Przypadek nr 2
-
Przypadek nr 3
-
Przypadek nr 4
-
Przypadek nr 5
-
Przypadek nr 6
-
Przypadek nr 7
-
Przypadek nr 8
-
Przypadek nr 9
-
Przypadek nr 10
-
Przypadek nr 11
-
Przypadek nr 12























Etapy Leczenia Ortodontycznego Aparatem Stałym
W naszej klinice stomatologicznej leczymy ortodontycznie z wykorzystaniem: aparatu stałego, ruchomego oraz leczenia nakładkowego Spark aligners.
Dyskretne Leczenie Nakładkowe
Technologia Spark Aligners reprezentuje nowoczesne podejście do leczenia ortodontycznego, oferując indywidualnie wykonane dla każdego Pacjenta, niemalże niewidzialne nakładki. Dzięki noszeniu ich przez rekomendowane 22 godziny na dobę – z wyjątkiem momentów spożywania posiłków i dbania o higienę jamy ustnej – Pacjenci mogą cieszyć się stopniowym, ale systematycznym przesuwaniem zębów do prawidłowej pozycji. Innowacyjność leczenia nakładkowego polega również na możliwości samodzielnego wymieniania nakładek przez pacjentów, co 7-10 dni. To znacząco ogranicza konieczność częstych wizyt kontrolnych w klinice. Spark Aligners nie tylko zwiększa komfort i dyskrecję podczas leczenia, ale także umożliwia Pacjentom większą elastyczność i kontrolę nad procesem korygowania uśmiechu.

Etapy Leczenia Nakładkowego Spark Aligners
Przeciwskazania Do Leczenia Ortodontycznego
Przeciwwskazania do leczenia ortodontycznego mogą być różnorodne i zależą od indywidualnej sytuacji Pacjenta, jego ogólnego stanu zdrowia oraz stanu zdrowia jamy ustnej. Najczęściej występujące przeciwwskazania, które mogą wykluczyć lub opóźnić rozpoczęcie leczenia ortodontycznego to: zaawansowane choroby przyzębia, niewystarczająca higiena jamy ustnej, niektóre choroby (np. cukrzyca, choroby serca), zaburzenia wzrostu i rozwoju szczęki i żuchwy, nowotwory jamy ustnej, alergie na materiały stosowane w ortodoncji i ciąża.
Przed rozpoczęciem leczenia ortodontycznego konieczna jest dokładna ocena stanu zdrowia Pacjenta, zarówno w zakresie stomatologii, jak i ogólnomedycznym, aby uniknąć powikłań i zapewnić skuteczność terapii.

Zespół Ortodontyczny Eurodent Stomatologia Rzeszów

Magdalena Niżańska
dr n. med. lek. stom. and Master of Orthodontics and Dentofacial Orthopedics

Agnieszka Wróblewska
Higienistka stomatologiczna

Paulina Gmiterek
Higienistka stomatologiczna

Marta Przybyło
Higienistka stomatologiczna, Koordynator Dental Monitoring

Karolina Grzesik
Asystentka stomatologiczna
Dlaczego Warto Wybrać Eurodent Stomatologia Rzeszów?
W naszej klinice oferujemy naszym Pacjentom najnowocześniejsze rozwiązania ortodontyczne, które są nie tylko efektywne, ale także maksymalnie komfortowe i dostosowane do indywidualnych potrzeb każdego Pacjenta. W Eurodent Stomatologia Rzeszów jesteśmy przekonani, że zaawansowane technologicznie rozwiązania w połączeniu z indywidualnym podejściem do każdego Pacjenta i zaangażowaniem naszego doświadczonego zespołu, stanowią klucz do osiągnięcia spektakularnych efektów leczenia. Zapraszamy do skorzystania z naszych usług, aby przekonać się o zaletach leczenia w klinice, która stawia na innowacyjność, komfort i satysfakcję Pacjentów.
Zobacz

Opinie O NAS
DOSKONAŁA Na podstawie 85 opinii Andrzej Noga2024-08-12Trustindex sprawdza, czy pierwotnym źródłem recenzji jest Google. Szczerze polecam. Od higienizacji poprzez leczenie do założenia aparatu. W 100% spełniło moje oczekiwania Bart Prokop2024-07-31Trustindex sprawdza, czy pierwotnym źródłem recenzji jest Google. As a returning patient to Eurodent, I am thrilled to share my continued outstanding experiences with this incredible dental clinic. Every visit to Eurodent reaffirms why I chose them in the first place. From the moment I walk in, I am always greeted by the friendly and professional front desk staff who remember my name and make me feel like a valued member of their dental family. The clinic’s ambiance is always inviting, and the cleanliness and modernity of the facilities are impressive. Dr. Magda and the entire team consistently exceed my expectations. Their expertise and dedication to patient care are unparalleled. Dr. Magda takes the time to listen to my concerns and explains each procedure thoroughly, ensuring I am comfortable and confident in the care I receive. Her gentle touch and attention to detail have made every procedure, from routine cleanings to more complex treatments, a pain-free and positive experience. The hygienists and assistants are equally fantastic. They are knowledgeable, compassionate, and always ready to make my visit as smooth as possible. I appreciate the thorough cleanings and the helpful tips they provide for maintaining my oral health between visits. What truly sets Eurodent apart is their commitment to personalized care. They remember my dental history and tailor their services to my specific needs, making me feel truly cared for. The seamless scheduling process and timely reminders make it easy to stay on top of my dental health without any hassle. I am so grateful to have found Eurodent. They have not only improved my smile but have also made me feel confident in my dental care journey. If you’re looking for a dental clinic that offers exceptional, personalized care in a warm and welcoming environment, Eurodent is the place to go. I highly recommend them to anyone seeking top-notch dental services. Thank you, Eurodent, for consistently providing such outstanding care and for making every visit a positive experience! Krzysztof Styś2024-07-25Trustindex sprawdza, czy pierwotnym źródłem recenzji jest Google. Serdeczniejsze polecam gabinet Eurodent w Rzeszowie. Doktor Kamil poprawił estetykę mojej jamy ustnej oraz wyleczył wszystkie zęby. Pamiętajmy, że bez pantogramu (Ala RTG) dentysta może nie widzieć czy ząb jest zdrowy "w środku". Natomiast w Eurodent wykonywany jest pantogram na miejscu, dzięki czemu Doktor między innymi dzięki temu wie gdzie leczyć nawet gdy tego nie widać na pierwszy rzut oka:) cena/jakość 5/5 serdecznie polecam. Marta Gałuszka2024-07-17Trustindex sprawdza, czy pierwotnym źródłem recenzji jest Google. Bardzo polecam - zespół wyjątkowych profesjonalistów, fachowe i indywidualne podejście do pacjenta, kompleksowe leczenie, świetna atmosfera. Justyna Michałowicz2024-07-12Trustindex sprawdza, czy pierwotnym źródłem recenzji jest Google. Naprawdę miejsce godne polecenia! Poczułam się naprawdę profesjonalnie zaopiekowana. Pracownicy wykazują się dużą cierpliwością, wszystko tłumaczą, z chęcią odpowiadają na każde pytanie, super doradzają. Takiego miejsca naprawdę ze świecą szukać. Szczególne podziękowania i pozdrowienia dla p. Dr Kamila Wlizło i pani higienistki Moniki Niebyleckiej. Jesteście wielcy! NyluDent Michał Nycz2024-07-05Trustindex sprawdza, czy pierwotnym źródłem recenzji jest Google. Polecam, pełen profesjonalizm :) Jakub M2024-07-01Trustindex sprawdza, czy pierwotnym źródłem recenzji jest Google. Jestem pod ogromnym wrażeniem profesjonalizmu całego zespołu. Już od momentu rejestracji czułem, że jestem w dobrych rękach – personel był uprzejmy i bardzo pomocny. Dr Kamil Wlizło wykazał się nie tylko dużą wiedzą i doświadczeniem, ale także niesamowitą precyzją i dbałością o komfort pacjenta. Przed rozpoczęciem leczenia dokładnie wyjaśnił, na czym będzie polegał zabieg, odpowiedział na wszystkie moje pytania i rozwiał wszelkie wątpliwości. W trakcie leczenia czułem się bardzo komfortowo, a cały zabieg przebiegł bezboleśnie i sprawnie. Z czystym sumieniem mogę polecić ten gabinet wszystkim, którzy szukają profesjonalnej opieki stomatologicznej! Syl Wia2024-06-20Trustindex sprawdza, czy pierwotnym źródłem recenzji jest Google. Korzystam regularnie z usług eurodent, zawsze jestem zadowolona z efektu. Ostatnie wybielanie zębów u Pani Agnieszki W. przerosło moje najśmielsze oczekiwania. Serdecznie polecam. :) Maja Hofman2024-05-16Trustindex sprawdza, czy pierwotnym źródłem recenzji jest Google. Profesjonalne miejsce, bardzo polecam.